Case
症例紹介
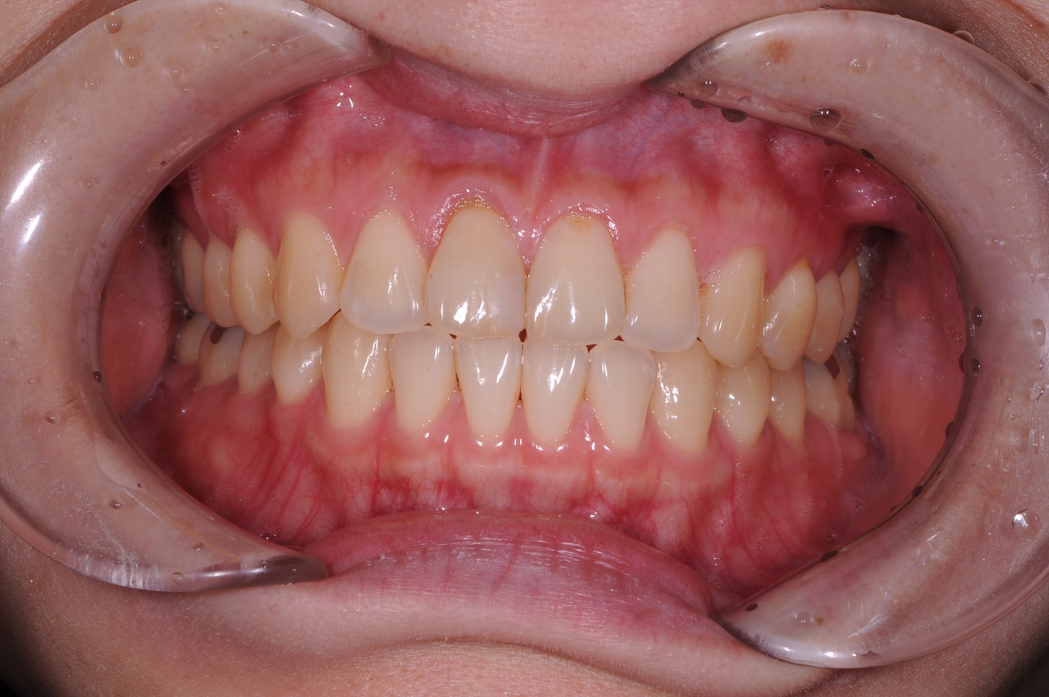
ホワイトニング
歯が黄色いのが気になる

Before

After
| 主訴 | 歯が黄色いのが気になる |
|---|---|
| 診断名 | 審美不良 |
| 年齢・性別 | 28歳・女性 |
| 治療期間・回数 | 3週間・2回 |
| 治療方法 | デュアルホワイトニングご希望のため、まず、オフィスホワイトニングを実施。同日にホームホワイトニング用のトレーを作製のため、型取りを行い、別日にお渡し。ご自分の好みに合わせてご自宅にてホワイトニングを継続してもらった。 |
| 費用 | 49,500円(税込) |
| デメリット・注意点 | 保険適用外のため、自費による診療となる コーヒー・ウーロン茶などの習慣的飲食物で着色が付く可能性がある |