Case
症例紹介
カテゴリー:
すべての投稿
一般歯科
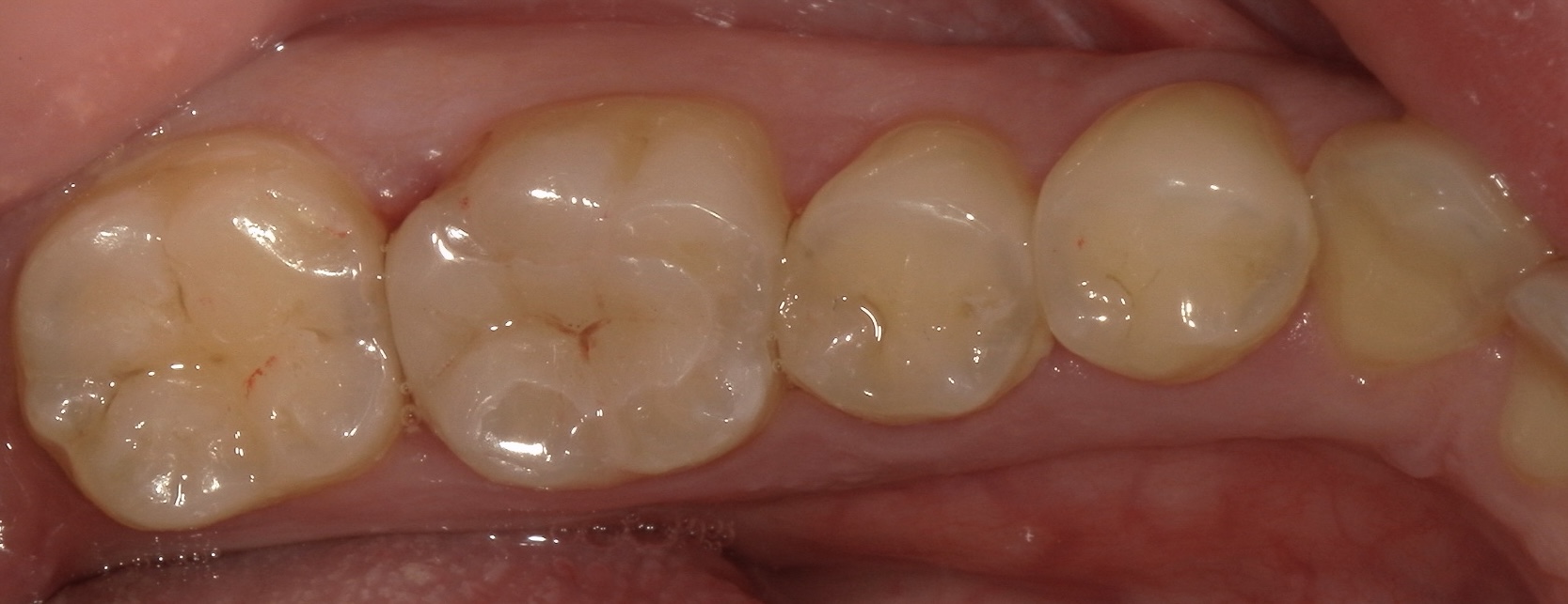
詰め物の下で再発したむし歯の治療症例

Before

After
| 主訴 | 左下がしみる、物を噛んだ時に痛い |
|---|---|
| 診断名 | 左下第一大臼歯の2次う蝕 |
| 年齢・性別 | 39歳 男性 |
| 治療期間・回数 | 2回 1週間 |
| 治療方法 | レントゲンにて詰め物の下にむし歯が認められたため、詰め物とむし歯を取り残しがないよう除去し、神経を守る薬を一層置いて型取りを行った。治療当日は仮の蓋でお帰りいただき、後日、ジルコニアの詰め物をセットした。 |
| 費用 | 77,000円 |
| デメリット・注意点 | ・セット後もしばらく冷たいものがしみたり、噛んだ時の違和感が残ったりすることがあります(個人差があります) 。 ・本治療は自由診療であり、公的医療保険は適用されません 。 |
| 備考 |
根管治療
左下があたたかいものでしみて、痛い。ズキズキもする

Before

After
| 主訴 | 左下があたたかいものでしみて、痛い。ズキズキもする |
|---|---|
| 診断名 | 左下 第一小臼歯の歯髄炎 |
| 年齢・性別 | 23歳・女性 |
| 治療期間・回数 | 1日・1回 |
| 治療方法 | レントゲンでは判別が難しかったため、打診(歯をコンコンするやり方)で患歯の特定をした。 詰め物、神経の除去を行う。 虫歯や菌を機械や薬を用いて徹底的に除去、掃除をする。除去できたら最終的な薬を詰めて終了。 |
| 費用 | 66,000円 |
| デメリット・注意点 | 根管治療中、痛みが出る可能性があります。神経をとった歯は神経を取っていない歯と比較して割れやすくなります。 |
| 備考 | 時々起こり得ることだか、患者様から訴えのあった自覚症状のある歯と実際の原因の歯が異なっていた。(錯誤痛や関連痛など) 打診(歯をコンコンするやり方)が1番原因の特定には有効だが、打診をする時は歯が響くので乱暴に感じられる方もいらっしゃるので、注意をして行うが患者様のご理解もお願いしたい。 また、原因の歯と症状のある歯が別なので、充分な説明は心掛けているが、こちらについても患者様のご理解をお願いしたい。 |
根管治療
右下が時々うずく

Before

After
| 主訴 | 右下が時々うずく |
|---|---|
| 診断名 | 右下 第ニ小臼歯の根尖性の歯周炎 |
| 年齢・性別 | 41歳・女性 |
| 治療期間・回数 | 1日・1回 |
| 治療方法 | 被せ物、土台、根の中の薬の除去を行う。 虫歯や菌、膿を機械や薬を用いて徹底的に除去、掃除をする。 除去できたら最終的な薬を詰めて終了。 |
| 費用 | 88,000円 |
| デメリット・注意点 | 根管治療中、痛みが出る可能性があります。神経をとった歯は神経を取っていない歯と比較して割れやすくなります。 |
根管治療
眠れないくらい痛い

Before

After
| 主訴 | 眠れないくらい痛い |
|---|---|
| 診断名 | 左上第一大臼歯の重度の虫歯による歯髄炎 |
| 年齢・性別 | 56歳・女性 |
| 治療期間・回数 | 1日・1回 |
| 治療方法 | 麻酔をし、虫歯や神経を取る。根の中の掃除を行い、菌の除去が終わったら最終的な薬を詰めて終了。 |
| 費用 | 88,000円 |
| デメリット・注意点 | 根管治療中、痛みが出る可能性があります。神経をとった歯は神経を取っていない歯と比較して割れやすくなります。 |
根管治療
噛むと左下奥歯が痛い

Before

After
| 主訴 | 噛むと左下奥歯が痛い |
|---|---|
| 診断名 | 左下 第一大臼歯の根尖性の歯周炎 |
| 年齢・性別 | 45歳・男性 |
| 治療期間・回数 | 1日・1回 |
| 治療方法 | 被せ物・土台・根の中の薬の除去を行う。 虫歯や菌、膿を機械や薬を用いて徹底的に除去、掃除をする。 除去できたら最終的な薬を詰めて終了 |
| 費用 | 99,000円 |
| デメリット・注意点 | 根管治療中、痛みが出る可能性があります。神経をとった歯は神経を取っていない歯と比較して割れやすくなります。 |
